نجح فريق طبي جراحي بمستشفى الدكتور سليمان الحبيب بالريان، في إنقاذ مريضة في العقد الثالث من العمر، من تَبِعات جراحة سابقة أجريت لها قبل 3 شهور لتعديل تحدب بالعمود الفقري. ذكر ذلك الدكتور بندر السبيعي استشاري جراحة العظام والعمود الفقري رئيس الفريق الطبي المعالج.
والذي أضاف أن المريضة وصلت للعيادة تشكو من عدم القدرة على ممارسة حياتها بصورة طبيعية، نتيجة شعورها بآلام حادة عند التنفس وتنميل في القدمين، بالإضافة إلى عودة التحدب وزيادة نسبة الجنف عن ذي قبل.. وعلى الفور تم إخضاعها لحزمة من الفحوصات الدقيقة بالتصوير المقطعي(C.T Scan)والأشعة الرقمية(Digital X- ray)والرنين المغناطيسي(M.R.I)والتصوير بالصبغة للشريان الأورطي(C.T angiography).
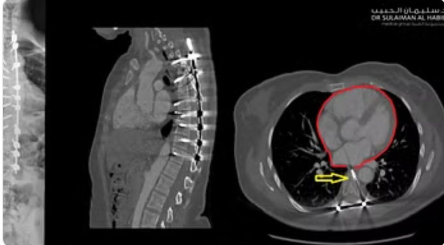
وأفاد بأن النتائج كشفت عن استخدام مسامير لتثبيت الفقرات ذات أطوال غير مناسبة في العملية السابقة، ووجود أقرب مسمار على بُعد 0.7 سم كاد يخترق الشريان الأورطي القلبي ويتسبب في الوفاة لا سمح الله؛ وهو المتسبب في شعورها بالأعراض السابق ذكرها؛ فضلًا عن اكتشاف تجمع للسوائل بالرئة.
وقال الدكتور السبيعي إنه بعد دراسة الفريق الطبي المعالج لكل النتائج؛ اتخذ القرار بالتدخل العاجل لإنقاذ المريضة؛ حيث تمت إزالة المسامير القريبة من الشريان الأورطي، وتغييرها بأخرى مناسبه لحجم الفقرات، دون تعريض المريضة لأية أذى، مع التأكد من عدم قربها من الأعصاب والحبل الشوكي، تَبِع ذلك تثبيت الفقرات وإجراء قص عظمي للعمود الفقري لتعديل التحدب.
وأضاف د.السبيعي أن المريضة نُقلت بعد الجراحة إلى العناية المركزة(I.C.U)، للاطمئنان على علاماتها الحيوية؛ إذ تَبين تحسنها منذ اليوم الأول بعد العملية، واستطاعت الوقوف والمشي التدريجي؛ حيث نُقلت في اليوم الثاني لجناح التنويم لتتلقى رعاية فائقة والبدء في برنامج تأهيلي خاص بالعلاج الطبيعي، وخرجت من المستشفى في اليوم السابع وهي بصحة جيدة ولله الحمد، بعد أن انتهت لديها مشكلة التنفس والآلام نهائيًّا وكانت سعيدة بتعديل التحدب.
الجدير بالذكر أن تخصص جراحة العمود الفقري، يُعد واحدًا من أكثر التخصصات التي تحظى باهتمام بالغ في مستشفيات مجموعة الدكتور سليمان الحبيب الطبية، مع وجود استشاريين حاصلين على أعلى الشهادات الأمريكية والبريطانية والكندية وفِرَق طبية مدربة للتعامل مع كل الحالات الخطرة.
