نجح فريق طبي بمستشفى الدكتور سليمان الحبيب بالخبر، في إجراء عملية معقدة لاستئصال ورم وزنه 3 كجم، ومتمدد في معظم أعضاء البطن، لمريض عمره 33 سنة، كان قد خضع لعمليتي استئصال في السابق؛ لكن الأورام عادت ووضعته في مرحلة متأخرة من المرض.
وقال المدير الطبي للمستشفى د.وليد البوعلي: إن المريض راجع المستشفى مشتكيًا من اضطرابات حادة في الجهاز الهضمي، تَمثلت في عسر الهضم وصعوبة بلع الطعام، بالإضافة لفقدان الشهية والغثيان والقيء، وفقدان الوزن.. وبالاطلاع على تاريخه المرضى، تَبين أنه أجرى من قبلُ عمليتين لاستئصال أورام سرطانية؛ الأمر الذي دفع الفريق الطبي إلى ترجيح احتمال إصابته بالأورام مجددًا، وهذا ما أكدته نتائج الفحوصات الطبية الدقيقة التي خضع لها المريض.
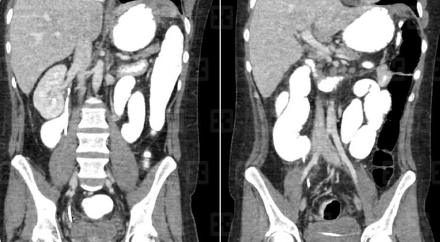
وأوضحت الصور الطبية ومناظير استكشاف البطن، أن الورم منتشر ومتشعب إلى أكثر من 7 من الأعضاء الداخلية لبطن المريض؛ مسببًا انسدادًا كاملًا في موضعين بالاثني عشر، إضافة إلى تمدده إلى جدار البطن والأمعاء والمرارة والجزء السفلي من المعدة وشحم البطن والحالب الأيمن، ومع هذا الانتشار الواسع للورم الذي بلغ وزنه 3 كجم، بدا وكأن التدخل الطبي سيقتصر على تقديم العلاج التلطيفي؛ لكن الفريق الطبي وضع خطة علاجية دقيقة، وأخضع المريض لواحدة من أعقد العمليات التي أجريت في المنطقة الشرقية، وتم فيها استئصال جزأين من الاثني عشر في حالة نادرة، كما تم استئصال الأورام المنتشرة أسفل المعدة، وفي المرارة وشحم البطن والأمعاء الدقيقة وجدار البطن وجزء من الكبد وجزء من الحالب مع زراعة دعامة للمنطقة المتضررة منه، ومن ثم قام الفريق الطبي بتوصيل القولون مع الأمعاء الدقيقة، وكذلك توصيل الجزء الثاني من الاثني عشر مع الجزء الرابع منه، وأخيرًا توصيل المعدة مع الأمعاء الدقيقة.
ومضت العملية التي استمرت 6 ساعات وفقًا للخطة العلاجية، وتكللت -ولله الحمد- بالنجاح التام، ونُقل المريض إلى العناية المركزة.. وبعد تحسن حالته الصحية حُوّل إلى غرفة تنويم اعتيادية، ولاحقًا غادر المستشفى بعد أن شفي تمامًا.
