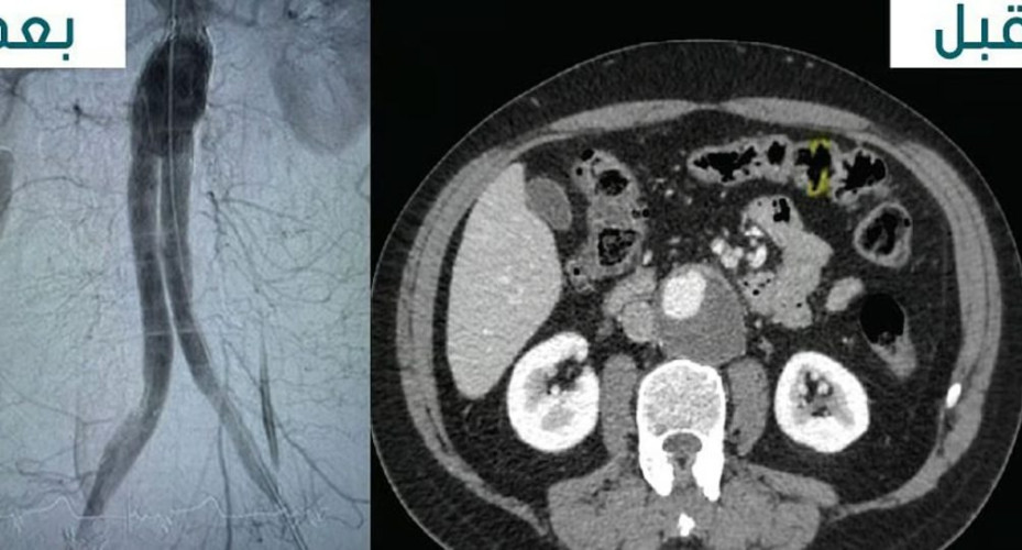
تم بحمد الله وتوفيقه علاج مريض يبلغ من العمر 69 عامًا يعاني من تمدد في الشريان الأورطي البطني بحجم 5 سم في مستشفيات المانع بالخبر، وذلك باستخدام تقنية القسطرة العلاجية.
وتمت العملية عبر شق صغير في الفخذ، مما جنب المريض إجراء الجراحة التقليدية عبر فتح البطن.
أُجريت العملية تحت إشراف د. سامي خليفة، استشاري جراحة الأوعية الدموية، ود. بندر الظفيري، استشاري الأشعة التداخلية، وتعد هذه التقنية المتقدمة بديلاً فعالاً وأقل تدخلاً للجراحة التقليدية، مما يسهم في تقليل فترة التعافي والمضاعفات المحتملة.
وتمت مراقبة المريض عن كثب طوال مدة العملية، بحيث استغرق في المستشفى يومين فقط، وغادر في حالة جيدة ومستقرة.
وفي تصريح له، قال د. سامي خليفة: “تسمح هذه التقنية العلاجية الأقل تدخلاً بمعالجة المرضى بشكل فعال، مع توفير وقت تعافي أقصر وتقليل المخاطر المرتبطة بالجراحة التقليدية، وعبر خليفة عن سعادته بنتيجة العملية وأكد على التزام مستشفيات المانع بتقديم أفضل رعاية باستخدام أحدث التقنيات الطبية.”
هذا وأكد الاستاذ مانع المانع، الرئيس التنفيذي لمستشفيات المانع، “إننا في مستشفيات المانع، نواصل السعي لتطبيق أحدث التقنيات الطبية والإجراءات لضمان أفضل النتائج لمرضانا، ويسعى فريقنا المتخصص في تقديم الرعاية الاستثنائية، ونحن فخورون بتقديم هذه العلاجات المتطورة لمجتمعنا.”
الجدير بالذكر أن هذا النوع من العمليات يؤكد على التقدم المستمر في مجال جراحة الأوعية الدموية والعلاج بالقسطرة، مما يوفر للمرضى علاجات فعالة مع أقل ألم وفترة تعافي أسرع.
