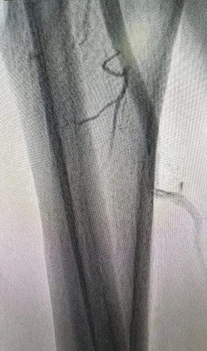
نجح بفضل الله فريق طبي في مركز القلب بمستشفى القريات العام في علاج مريض كان يعاني من تضيق شديد في الشريان الأبهر وشرايين الحوض حيث أجريت له عملية قسطرة ناجحة لشرايين الأطراف السفلية و تكللت -بحمد الله وتوفيقه- بالنجاح. والمريض بحالة صحية جيدة ومستقرة ولله الحمد .
حيث تعتبر حالة من نوعها تجرى في قسم القلب وتأتي ضمن مراحل التشغيل التدريجي لهذا الصرح الطبي النوعي في صحة القريات ، والذي سيقدم خدمات طبية تخصصية لأهالي المنطقة عبر فريق عمل متخصص ومتكامل.
المشاهدات : 2321
التعليقات: 0
