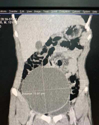
تمكن بفضل الله الفريق الطبي بقسم المسالك البولية وقسم الجراحة العامة بمستشفى عفيف العام من إنهاء معاناة مريض من تورم في الجانب الأيمن من البطن وكذلك تورم في كيس الصفن وبعمل الفحوصات تبين وجود قيلة مائية في خصية معلقة في منطقة الأرب الأيمن وممتدة للحوض والبطن حتى مستوى الفقرة القطنية الثالثة بحجم (٢٦سم *١٦سم *١٣.٥سم )وضاغطة على الأمعاء والحالبين مسببة تضخم في الكليتين وقد تم إجراء عملية إستئصال للكيس وتنزيل الخصية لكيس الصفن وإصلاح الفتق الأربيالأيمن بدون أي مضاعفات ولله الحمد ، واضاف” العمري ” بأن مثل هذا التصفن ضمن 100 حاله عالمياً ومن النادر حدوثها .
تجدر الإشارة أن وحدة جراحة المسالك البولية بالمستشفى بدأت مؤخراً في إجراء مناظير الجهاز البولي السفلي (المثانة والبروستاتا)وكذلك عمليات تركيب دعامات الكلى لمرضى الإنسداد الكلوي ويأتي هذا ضمن جهود ” صحة الرياض ” لرفع وتطوير مستوى الخدمات الصحية بمختلف المجالات ومن ضمنها التوسع في مستوى العمليات الجراحية لمناظير الكلى والحالب وتفتيت الحصوات في المستقبل القريب بمشيئة الله.
المشاهدات : 2424
التعليقات: 0
