نجح فريق طبي متخصّص في جراحات العمود الفقري بمجمع الدكتور سليمان الحبيب بالعليا، في إنهاء معاناة فتاة تبلغ من العمر 12 عامًا، كانت تشكو من وجود تشوّهات حادّة في العمود الفقري “جنف”، ناتج عن تقوسين شديدين بالمنطقة الصدرية والقطنية، مسببًا على مدار عامين إعاقتَها عن ممارسة حياتها الاعتيادية ومتابعة دراستها، بالإضافة إلى صعوبات أخرى تتعلق بالنوم نتيجة الانحراف وزاويته، علمًا بأن المضاعفات زادت حدّتها في آخر 6 أشهر.
هذا ما أوضحه الدكتور عوض عبدالرحمن العوض، استشاري جراحة العظام والعمود الفقري، الحاصل على الزمالة الأمريكية والسويدية رئيس الفريق المعالج، والذي أضاف أن الفتاة حاولت العلاج في أكثر من مستشفى ولكن دون جدوى، مشيرًا إلى أنه فور وصولها لمركز طب وجراحة المخ والأعصاب والعمود الفقري، تم إجراء عدد من الفحوصات المخبرية، وأشعة الرنين المغناطيسي “M.R.I” على كامل منطقة الظهر.
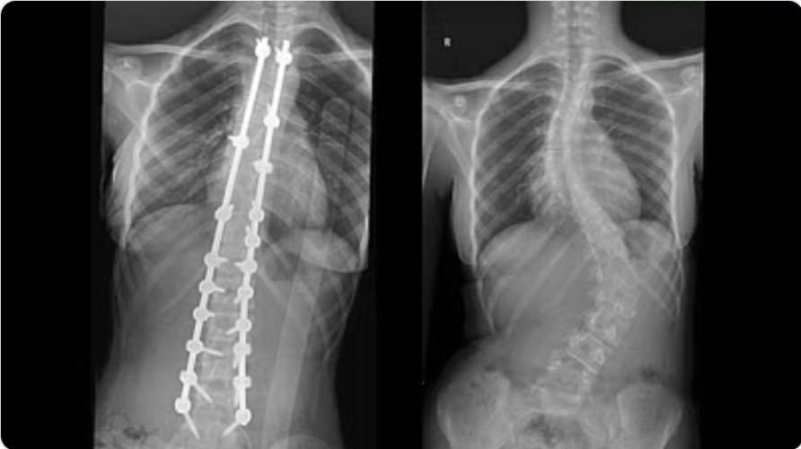
وأكد الدكتور عوض أن نتائج الفحوصات أشارت إلى وجود اعوجاج شديد في منطقة الفقرات القطنية شديد، تبلغ زاويته 76°، بالإضافة إلى تقوّس آخر في الفقرات الصدرية بلغ انحناؤه 58°، مع تشوّه وبروز في منطقة الصدر والبطن، مشيرًا إلى أن الفريق الطبي المعالج قام بدراسة وافية للحالة، وقرّر التدخُّل الجراحي للحدّ من المضاعفات المتمثّلة في ازدياد شدة التقوسات بالعمود الفقري، والأعراض المصاحبة له في حالة التأخر بالعلاج.
وأضاف الدكتور عوض أنه تم استخدام أجهزة وتقنيات متطورة للمساعدة في تعديل وتقويم الفقرات، في عملية استغرقت 3 ساعات، وتم فيها تعديل الجنف بنسبة 100% للفقرات القطنية، وبنسبة 96% لفقرات الصدر، علاوة على تعديل وتقويم عظام الحوض بصورة جيدة. ولله الحمد تكلَّلت جهود الفريق الطبي بالنجاح دون أية مضاعفات، وقد استطاعت الفتاة ولله الحمد الوقوفَ والمشي في الساعات الأولى بعد العملية، وخرجت من المستشفى في اليوم الرابع وهي بصحة جيدة، وقد انتهت لديها كافة الأعراض السابق ذكرها.
