تمكن فريق طبي جراحي من إزالة جسم غريب علق في مرئ طفلة تسبب لها في مضاعفات صحية خطيرة.
وقالت صحة جدة أن الطفلة تبلغ من العمر 8 شهور وحضرت إلى طوارىء مستشفى الملك عبدالعزيز وهي تعاني من جفاف شديد وصعوبه في البلع ونقص في الشهية وبكاء مستمر منذ ٥ أيام.
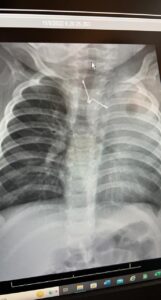
وأكدت أن الفريق الطبي المشرف على الحالة قام على الفور بعمل التحاليل والاشعات اللازمة وإدخال الطفلة لغرفة العمليات بصفه عاجلة وذلك لإكتشاف جسم معدني حاد الاطراف بلعته الطفله وبقي عالقاً في المرىء مسبباً لها مضاعفات صحية خطيرة خصوصاً لو تم تحريكه بأي طريقه خاطئه، حيث نجح الفريق الطبي في مده زمنية تقارب الـ(4)ساعات من اخراج الجسم الغريب بالمنظار وبحذر شديد حتى لا تصاب الأنسجة المحيطة به بأي جروح، وتتمتع المريضة بصحة جيدة تحت العناية المكثفة لإكمال فترة الشفاء.


